Cirurgia de tumores

Os tumores primários não-linfoproliferativos da coluna vertebral são raros, correspondendo de 5 a 10% de todos os tumores ósseos. Acometem pacientes via de regra mais jovens e na maioria dos casos são lesões únicas.

Já o mieloma múltiplo, de etiologia maligna, ganha importância nos pacientes mais idosos, sendo a neoplasia primária da coluna mais comum.

Já as lesões metastáticas e linfoproliferativas são muito mais frequentes, normalmente apresentam-se como lesões múltiplas na coluna e acometem principalmente pacientes acima dos 40 anos de idade.

As neoplasias mais prevalentes na coluna vertebral são as metástases de tumores das mamas, de tumores pulmonares, da próstata, dos rins e dos tumores hematopoiéticos como já citado (mieloma múltiplo e linfomas).

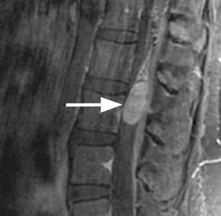
Até 10% dos pacientes com câncer podem desenvolver um quadro de compressão medular, sendo que em alguns casos, os sintomas decorrentes da compressão medular são os primeiros a se manifestarem. O segmento da coluna mais acometido pela compressão medular é o torácico, seguido pela região cervical e então pela região lombar e sacral.

Os sintomas decorrentes dos tumores da coluna vertebral são variados, a depender do tipo de tumor, localização, estruturas acometidas e tempo de evolução. Podem se manifestar como dor, via de regra persistente e progressiva, alterações de sensibilidade em membros, formigamento e parestesias e, a depender do grua de comprometimento neurológico, até mesmo perda de força ou incapacidade para deambular.

Diagnóstico

O Diagnóstico é realizado com base na história clínica e exame físico completo, em associação com exames complementares específicos e estadiamento tumoral, quando pode-se lançar mão de exames de imagem como radiografias, tomografia computadorizada, ressonância nuclear magnética e cintilografia, além de exames laboratoriais diversos.

Em determinados, os exames de imagem são ferramentas diagnósticas auxiliares na para a realização de biópsia tumoral.

Tratamento

O tratamento das lesões varia de acordo com cada caso, a depender do tipo de tumor, localização, estágio de progressão, estado clínico do paciente, sensibilidade do tumor a radioterapia e quimioterapia e presença de sintomas neurológicos. Em muitos casos, a compressão medular e a presença de sintomas neurológicos progressivos estão entre as indicações clássicas de tratamento cirúrgico. É importante salientar que um dos pilares do tratamento de pacientes com lesões tumorais da coluna vertebral, principalmente as de etiologia maligna, é não só o controle da progressão doença, mas também um controle adequado da dor e melhoria da qualidade de vida, mesmo quando um tratamento curativo não for possível. Via de regra, esses pacientes necessitam, além do acompanhamento especializado de um cirurgião de coluna, de acompanhamento por equipe multidisciplinar.

Dr. Kelsen Teixeira

Dr. Kelsen de Oliveira Teixeira

Ortopedista e Cirurgião de Coluna
Dr. Kelsen Teixeira - Cirurgião de Coluna
Agende sua Consulta
Indaiatuba Hospital

(19) 3392-7524


Hospital Samaritano Higienópolis

(11) 3821-5300


Centro Médico São Luiz - Anália Franco

(11) 3003-3230


Clínica Atualli Spine Care
(11) 3567-4299

+55 (11) 94375-6328

© Todos os Direitos reservados - Dr. Kelsen Teixeira - Cirurgião de Coluna
Responsável Médico: Dr. Kelsen Teixeira CRM: 187.587 | CRM-DF: 19.099

Site desenvolvido e otimizado por Glogs - Agência Digital